01小耳畸形干预案例(一)昊昊,7岁,左耳为膜性闭锁,右耳耳道则是通畅的。孩子即将上小学,家长期望能够尽快为孩子进行听力补偿以及关于听力手术方案的咨询。

左耳右耳左耳膜性闭锁 右耳耳道通畅
听力学检查纯音测听

右耳70dBHL 左耳53.75dBHL
听性脑干反应Click ABR

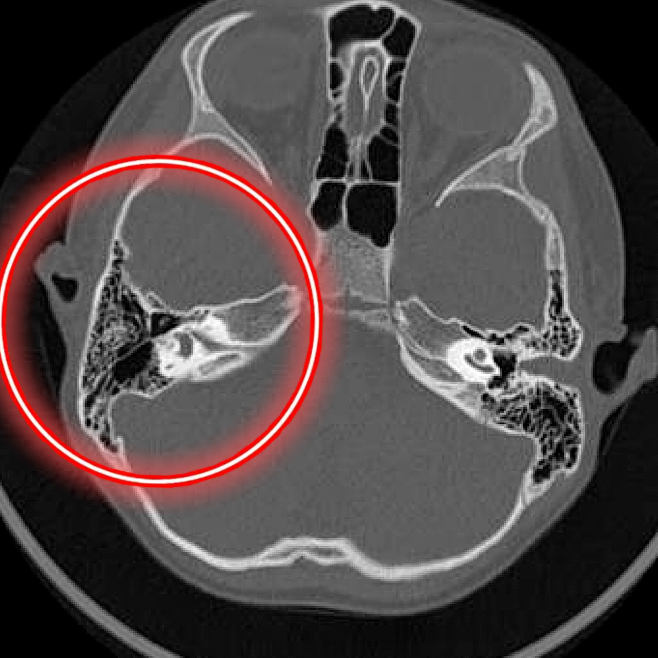
影像学检查—CT

左侧外耳廓较右侧偏小,外耳道骨性闭锁,听小骨发育不良。右侧外耳道狭窄伴随膜性闭锁。
听力诊断
左耳中-重度传导性听力损失右耳重度混合性听力损失
干预方案
建议先对昊昊进行听力干预,然后再开展耳廓整形、外耳道重建/扩大、鼓室成型以及听力重建等工作。右耳外耳道通畅,能够使用传统气导助听器。而左耳耳道膜性闭锁,由于昊昊尚未达到手术年龄,因此不能使用传统气导助听器,需要佩戴骨导助听器。原因一:防止左耳出现听觉剥夺现象;原因二:仅依靠右耳聆听,清晰度较差,会对学习产生影响。最后为昊昊制定了骨导助听器和气导助听器双模干预方案,右耳将会同时接收左侧骨导与右耳气导的声音信号。下面是昊昊经过真耳分析之后的助听器效果评估结果,图上所标注的数值为助听前/后的平均听阈。

昊昊进行言语评估测试的完善,助听前后的差异达到95%,由此可见,昊昊戴上助听器之后,言语清晰度得到了极其显著的提升!

佩戴效果图:

先天外中耳畸形婴幼儿早期干预的意义在于,能够积累足够多的言语输入量以及言语输入质量,这是婴幼儿听觉功能及言语语言学习的必要条件。存在听力损失的外中耳畸形均会在一定程度上影响婴幼儿言语、认知、性格的形成与发育,传导性听力损失患儿言语发育迟缓,注意力欠佳,影响其正常社交以及工作学习。因此,应对外中耳畸形患儿尽早进行听力诊断和干预。
小郑,高中女生,16岁,先天性双侧外耳道狭窄合并中耳听骨链畸形。

左耳右耳小郑自幼佩戴骨导助听器,上小学后因双耳耳道通畅更换为耳背机,如今16岁的她对美观以及课堂聆听清晰度的要求显著提高。家长想要为小郑寻找到既美观又能确保聆听效果的办法。
听力学检查

综合小郑的美观需求以及她的听力状况,为其选配大功率定制机,该定制机具备双受话器,功率能够达到110dB,可同时满足对高频和低频增益的要求;同时,通过自适应反馈抑制、反馈控制管理器等功能,在确保净空增益的同时,还对增益实施了同步控制,为避免产生啸叫提供了双重保障。并且,现场制作外壳,经3D打印后由经验丰富的工程师手工修改,密封度更高,在满足患者舒适度的同时也不容易产生啸叫。

左耳右耳
助听后声场评估

助听后言语评估
